The Solution to Missing Teeth: All on Four Dental Implants in Dallas

The Solution to Missing Teeth: All on Four Dental Implants in Dallas

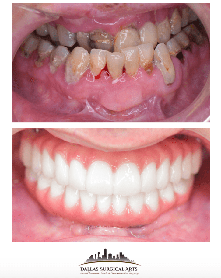
Missing teeth can have a significant impact on our confidence and quality of life. Fortunately, dental implants are a great solution to this problem. In Dallas, the All on Four dental implant system is a popular option for those looking to replace multiple missing teeth.

All on Four Dental Implants: A Comprehensive Solution

The All on Four dental implant system is a comprehensive solution and involves the placement of just four dental implants to support a full arch of replacement teeth. This procedure offers several benefits, including improved bite stability, and a more natural look. The All on Four procedure is designed to give you back the smile you've always wanted.

This same-day procedure requires the extraction of remaining teeth and placement of four implants into your jawbone, where the implants will fuse with your bone over time and provide stability for your arch of teeth. This procedure is typically recommended when you need to replace multiple missing teeth or if you have an injury or disease that has caused bone loss.

The Importance of an Experienced Oral Surgeon

A qualified oral surgeon can help you achieve the best outcome, and minimize the risks of complications.

Dallas Surgical Arts has two board-certified surgeons, Dr. Randy Sanovich and Dr. Danny Sanovich. Both doctors offer a variety of dental implant options to help you achieve your desired results.

Dental Implants at Dallas Surgical Arts

The All on Four procedure is ideal for those with multiple missing teeth. At Dallas Surgical Arts we have experienced oral surgeons who can help you achieve the results you want. Don't let missing teeth impact your confidence and quality of life any longer. Dallas oral surgeons like Dr. Randy or Dr. Danny can help you achieve a beautiful and functional smile.

Interested in All on Four Implants in Dallas? Reach out to us today at (972) 914-3660. We'd love to help!

Related Posts
  • 2025 Year in Review - Real Patient Testimonials on Dr. Randy Sanovich (Part 2) Read More
  • Real Dallas Patient Reviews on Dallas Surgical Arts Read More
  • Real Patient Reviews on Top Dallas Facial Cosmetic Surgeon Dr. Randy Sanovich Read More
/