Breaking the Cycle of Sleep Apnea by Correcting Jaw Issues

Obstructive Sleep Apnea Treatment at Dallas Surgical Arts

Looking for relief from the struggles of sleep apnea? Say goodbye to frustrating, sleepless nights and consider surgical options like jaw surgery that can help you get back to a normal sleeping routine in no time.

Sleep Apnea: A Common Problem

Sleep apnea is a circulatory disorder in which breathing stops and starts during sleep for more than ten seconds, usually five or more times over the period of an hour. This results in reduced air flow and low oxygen levels (hypoxia), affecting vital tissue and organs in the body like the lungs and heart. This can cause numerous health problems, including excessive daytime sleepiness and poor concentration.

Sleep apnea affects approximately 18 million Americans, but few are aware of the serious and potentially life-threatening symptoms if left untreated. In clinical studies, roughly 40 percent of heart failure patients had reported sleep apnea, suggesting a strong correlation between the two conditions. The stress of these hypoxia episodes also raises blood pressure and heart rate, increasing the risk of cardiovascular disease and the likelihood of a patient enduring a stroke.

In addition to affecting vital organs, causing bouts of fatigue throughout your waking hours and disrupting your sleep cycle, sleep apnea can lead to gingival recessions and periodontal disease. Due to the lack of oxygen in the body caused by sleep apnea, those with this condition are at an increased risk of developing osteoporosis (loss of bone density).

Patients may also find issues with sedatives or anesthesia, as these medications relax your airway and can cause the condition to worsen. It can even put an unnecessary strain on personal relationships, as partners may choose to sleep in another room due to the patient’s snoring.

Having jaw problems can be linked to sleep apnea and can greatly impact your health and quality of life. Fortunately, there are several effective treatments that can help break this vicious cycle.

Jaw Issues and Sleep Apnea

There are various types of sleep apnea, but jaw surgery can help with one type, called obstructive sleep apnea. Those with Obstructive Sleep Apnea, or OSA, experience interrupted breathing, where the soft tissue in the throat collapses during sleep. The relaxation of these throat muscles blocks your airway periodically while you sleep, causing obstruction and subsequent snoring and gasping for air. Jaw issues are often associated with sleep apnea, including the constant grinding and clenching of the jaw during sleep. This can lead to pain and discomfort, and it can also cause the misalignment of the jaw, making sleep apnea symptoms even worse.

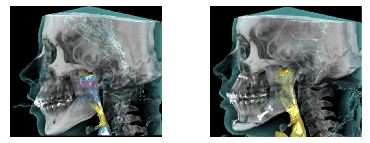
OSA sufferers may find relief from this potentially dangerous and disruptive condition through maxillomandibular advancement surgery (MMA). Orthognathic (jaw) surgeries like MMA can help correct certain cases of OSA by repositioning the upper and lower jaws forward so there’s enough space for air to flow freely when breathing through the mouth during sleep.

This surgical procedure offers a long-term, effective solution that can drastically improve the quality of life for those who experience difficulty sleeping due to OSA. By taking advantage of jaw surgery to correct sleep apnea, you could be on the path to enjoying a more peaceful and restful night's sleep.

Oral and maxillofacial surgeons like Dr. Randy Sanovich specialize in treating conditions caused by jaw misalignment, and are a valuable resource when searching for sleep apnea treatment options.

CPAP: Minimally-Invasive Treatment for Sleep Apnea

CPAP, or continuous positive airway pressure, is often used as a minimally-invasive treatment option for sleep apnea. It involves the use of a machine that delivers a continuous stream of air pressure to help keep the airways open during sleep. It may be recommended that you use a nasal CPAP machine before considering surgical options like MMA.

Other Treatments for Sleep Apnea

In addition to CPAP, there are several other non-invasive treatments that can help manage jaw issues that can ultimately lead to sleep apnea. These include orthodontic treatment, jaw exercises, and the use of a splint or night guard. Your healthcare provider can help you determine the best treatment plan for your individual needs.

Jaw Surgery in Dallas

Sleep apnea issues can be a vicious cycle. OSA is a potentially dangerous condition that can disrupt your sleep and interfere with daily activities, including work and social interactions. Orthognathic surgery is a viable treatment option to correct this condition. With the help of jaw surgery like MMA, or non-invasive treatments like CPAP, you can experience significantly improved sleep, less fatigue during the day, enjoy better health and a better quality of life.

If you're struggling with sleep apnea, speak with board-certified oral and maxillofacial surgeon Dr. Randy Sanovich today to learn more about your treatment options.

Interested in sleep apnea treatment in Dallas? Reach out to us today at (972) 914-3660.

Related Posts
  • Revision Genioplasty Specialist in Dallas - What to Know About Having Another Chin Surgery Read More
  • Refine Your Side Profile - Male and Female Facial Sculpting Treatments and Procedures in Dallas Read More
  • Botox vs. Dysport: Which Neurotoxin is Best for Your Wrinkles? The Dallas Guide to Preventative Botox and Dysport Read More
/